当院での症例
マイコプラズマに感染して貧血した猫
猫に感染するマイコプラズマと呼ばれる病原体には、赤血球に寄生して貧血を引き起こすものがあります。
この病気は「ヘモプラズマ症」と呼ばれ、猫の赤血球を破壊することで貧血を引き起こします。
マイコプラズマには、Mycoplasma haemofelis、M. haemominutum、M. turicensisなどの株があり、猫に
感染する重要なものとして知られています。感染すると、貧血のほかにも、元気消失、食欲不振、沈鬱、
黄疸、発熱、可視粘膜蒼白、脱水、脾腫、呼吸速迫などの症状が現れる場合があります。
この症例は3歳のメス猫(避妊)です。
半年前からくしゃみ、鼻詰まりの症状があり1か月前から食べなくなったということでした。
貧血があり(Ht 13.5%)
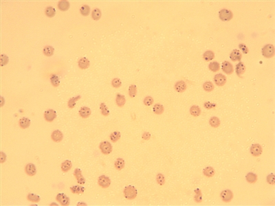
血液を塗抹し顕微鏡で調べると赤血球にマイコプラズマらしきものが付着していました。
ニューキノロン系の抗生剤等を投与したところ3週間後にはHtが17%まで回復し
元気もよくなりました。
心筋症と思われる猫
5才の猫で2か月前からやせてきて2日前から食べない
とのことでした。
初診時は元気食欲廃絶、嘔吐、体温35.5 脈拍数100回
血液検査ではwbc22,900 Ht37.5% BUN62 クレアチニン2.9
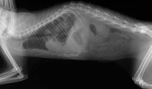
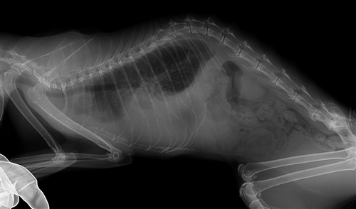
レントゲンでは心臓自体の大きさは正常ですが心雑音が認め
られました。
エコー検査では左心室の壁の肥厚が認められました。
血流が悪くなってBUNが高くなったと思われました。
点滴、抗嘔吐薬、利尿剤、血管拡張薬、抗生剤、強心剤
で2日後に食欲が出てきました。
その後1年以上生きましたが肺水腫と胸水貯留を繰り返し
死亡しました。
